Skip to main content

Root Canal Retreatment

Root canal retreatment provides a second chance to save a tooth that has experienced complications after the initial treatment. It helps restore tooth function, eliminates infection, and protects against further damage. By preserving the natural tooth, retreatment can prevent the need for extraction and more invasive procedures.

Image
Rendering of root canal procedure

What is a root canal retreatment?

A root canal retreatment is a procedure performed when a tooth that has already undergone a root canal fails to heal properly or develops new problems. Sometimes, previously treated teeth can become reinfected or experience complications such as new decay or a new crack.

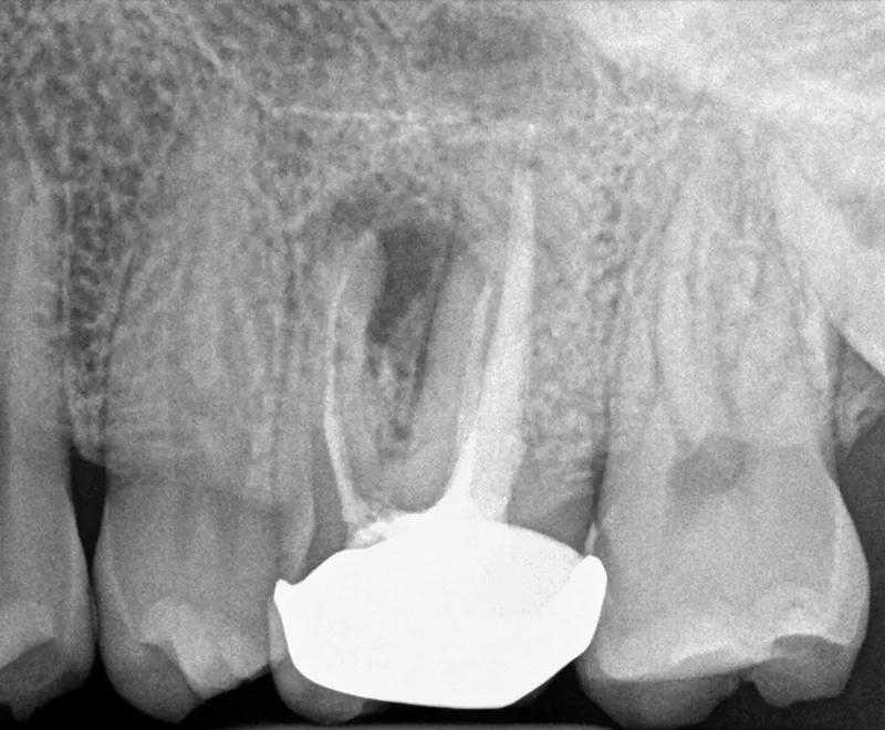
Image
Root canal retreatment before

Before

Image
Root canal retreatment after

After

Steps Involved in Root Canal Retreatment

1 Consultation and diagnosis

Your dentist will first assess the condition of the tooth and take digital X-rays to identify the cause of the failure. Factors such as uncleaned canals, cracks, or defective restorations will be evaluated. A treatment plan is then made to determine whether retreatment or another procedure is needed.

2 Removing previous root canal filling

As with the initial root canal, local anesthesia ensures that you ar comfortable during the retreatment procedure. The dentist reopens the tooth by removing the existing crown, filling, or other restorative material to access the root canals. The old root canal filling material is removed from the canals using special instruments. This allows the dentist to fully access the inside of the tooth and address any remaining or new infection.

3 Cleaning and disinfecting the root canals

The canals are thoroughly cleaned and disinfected again. Any new or untreated canals are located and addressed. Advanced tools and techniques, such as dental microscopes or 3D imaging (CBCT), may be used to ensure no part of the canal system is overlooked. The canals are shaped and sterilized using antimicrobial solutions to eliminate bacteria and debris.

4 Filling and sealing the canals

After cleaning, the canals are refilled to seal the tooth. This step is crucial to prevent future infections. The access hole in the tooth is closed with a temporary filling or another material until a permanent restoration can be placed.

5 Restoration

A new crown or filling may be placed on the tooth to protect it and restore its function. In some cases, the existing crown can be reused if it is still intact and functional. However, more commonly, a new restoration is necessary to ensure a proper seal.

Request an appointment

Don’t suffer with pain and discomfort any longer. Get in touch today to make an appointment to visit one of our experienced and gentle root canal specialists.